Yoğun İçerikli Kistik Lezyonun Özellikleri Nelerdir?
Yoğun içerikli kistik lezyonlar, belirli bir kapsül içinde sıvı veya yarı sıvı madde barındıran anormal yapılar olup, çeşitli organlarda görülebilir. Bu lezyonların özellikleri, nedenleri, belirtileri ve tedavi yöntemleri gibi konular, sağlık açısından önemli bir inceleme alanıdır. Erken tanı ve uygun tedavi, yaşam kalitesini artırmada kritik rol oynamaktadır.
Yoğun içerikli kistik lezyonlar, genellikle çeşitli organlarda görülen, sıvı veya yarı sıvı içerik barındıran ve belirli bir kapsül ile çevrili olan anormal oluşumlardır. Bu lezyonlar, içerdikleri maddelerin yoğunluğuna göre sınıflandırılabilir ve farklı patolojik durumların göstergesi olabilir. Bu makalede, yoğun içerikli kistik lezyonların özellikleri, tanı yöntemleri ve klinik önemi detaylı bir şekilde ele alınacaktır. 1. Yoğun İçerikli Kistik Lezyonların TanımıYoğun içerikli kistik lezyonlar, içerdikleri sıvının yoğunluğu yüksek olan ve genellikle bir kapsül ile çevrili kistlere verilen isimdir. Bu lezyonlar, sıvıların yanı sıra, bazen katı parçacıkları da içerebilir. Kistik lezyonlar, genellikle benign (iyi huylu) veya malign (kötü huylu) özellikler gösterebilir. 2. Yoğun İçerikli Kistik Lezyonların NedenleriYoğun içerikli kistik lezyonların oluşumuna neden olan faktörler arasında şunlar yer alır:
Bu etkenler, kistik lezyonların gelişiminde rol oynayan önemli faktörlerdir ve her biri farklı patolojik süreçlerle ilişkilendirilebilir. 3. Yoğun İçerikli Kistik Lezyonların BelirtileriYoğun içerikli kistik lezyonlar, bulundukları organa ve büyüklüğüne bağlı olarak değişken belirtiler gösterebilir. Genel olarak karşılaşılan belirtiler şunlardır:
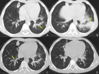
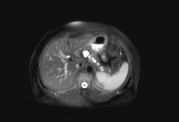
Bu belirtiler, lezyonun yerleşim yeri ve büyüklüğüne göre değişiklik gösterebilir. 4. Tanı YöntemleriYoğun içerikli kistik lezyonların tanısı, çeşitli görüntüleme yöntemleri ve biyopsi ile yapılabilir. Kullanılan başlıca tanı yöntemleri şunlardır:
Bu yöntemler, lezyonun özelliklerini, boyutunu ve içeriğini belirlemeye yardımcı olur. 5. Yoğun İçerikli Kistik Lezyonların TedavisiTedavi planı, lezyonun tipi, boyutu ve hastanın genel sağlık durumu gibi faktörlere bağlı olarak değişir. Yoğun içerikli kistik lezyonların tedavi seçenekleri arasında:
Tedavi yönteminin belirlenmesinde, lezyonun karakteristik özellikleri ve hastanın durumu göz önünde bulundurulmalıdır. 6. Yoğun İçerikli Kistik Lezyonların PrognosuYoğun içerikli kistik lezyonların prognozu, lezyonun benign mi yoksa malign mi olduğuna, tedavi yöntemine ve hastanın genel sağlık durumuna bağlıdır. Benign lezyonlar genellikle iyi bir prognoza sahipken, malign lezyonlar daha ciddi sonuçlar doğurabilir. Erken tanı ve uygun tedavi, hastalığın seyrini olumlu yönde etkileyebilir. SonuçYoğun içerikli kistik lezyonlar, çeşitli organlarda görülebilen ve farklı patolojik durumlardan kaynaklanabilen önemli yapılar olarak değerlendirilmektedir. Bu lezyonların doğru tanı ve tedavi süreçleri, hastaların yaşam kalitesini artırmakta ve komplikasyon riskini azaltmaktadır. Kistik lezyonlar hakkında daha fazla bilgi edinmek ve erken tanı için düzenli kontroller yapmak, sağlık açısından son derece önemlidir. |















































Yoğun içerikli kistik lezyonlarla ilgili olarak yaşadığım bazı tecrübeler var. Bu lezyonların tanımını okuduğumda, genellikle benign ya da malign olabilme ihtimalleri beni düşündürüyor. Özellikle nedenleri kısmında belirtilen genetik faktörler veya enfeksiyonlar gibi etkenlerin, kişisel sağlık geçmişimle bağlantılı olup olmadığını merak ediyorum. Belirtiler arasında yer alan ağrı ve şişlik, benim için en rahatsız edici olanları. Tanı yöntemleri olarak ultrasonografi ve manyetik rezonans görüntülemenin ne kadar etkili olduğunu deneyimledim. Tedavi seçenekleri arasında minimal invaziv yöntemlerin tercih edilmesi, hastalar için ciddi bir avantaj gibi görünüyor. Sonuç olarak, bu lezyonların prognozunun, tedavi sürecinin ne kadar başarılı olduğuna bağlı olması beni umutlandırıyor. Düzenli kontrollerin önemini bir kez daha anlıyorum.
Merhaba Cemalleddin Bey,
Yoğun içerikli kistik lezyonlar hakkında paylaştığınız tecrübeler oldukça değerli. Bu tür lezyonların benign veya malign olma ihtimali, birçok kişi için endişe kaynağı olabiliyor. Genetik faktörler ve enfeksiyonların kişisel sağlık geçmişiyle bağlantılı olup olmadığı konusunda endişeleriniz oldukça anlaşılır. Kistik lezyonların nedenleri üzerinde daha fazla bilgi edinmek, bu konuda daha bilinçli kararlar almanıza yardımcı olabilir.
Belirtiler: Ağrı ve şişlik gibi belirtilerin rahatsız edici olduğunu ifade etmeniz de önemli. Bu tür belirtiler, kişinin yaşam kalitesini ciddi şekilde etkileyebilir.
Tanı Yöntemleri: Ultrasonografi ve manyetik rezonans görüntüleme (MRG) gibi tanı yöntemlerinin etkili olduğunu deneyimlemiş olmanız, bu süreçte ne kadar önemli bir yere sahip olduklarını gösteriyor. Bu yöntemler, lezyonların doğru bir şekilde değerlendirilmesi için kritik öneme sahiptir.
Tedavi Seçenekleri: Minimal invaziv yöntemlerin tercih edilmesi, özellikle hastaların iyileşme süreçlerini hızlandırdığı için büyük bir avantaj sağlıyor. Bu tür tedavi yaklaşımlarının artması, hastaların yaşam kalitesini artırma konusunda umut verici.
Sonuç olarak, tedavi sürecinin başarısının lezyonların prognozunu etkilediğini belirtmeniz de oldukça önemli. Düzenli kontrollerin sağlanması, olası komplikasyonların önüne geçmek ve sağlıklı bir yaşam sürdürmek için hayati bir rol oynuyor. Geçmişte yaşadıklarınızdan yola çıkarak bu konuda farkındalık yaratmanız, hem kendiniz hem de diğerleri için büyük bir katkı sağlıyor.
Sağlık dolu günler dilerim.